Avaliar o desenvolvimento da criança ainda na infância pode evitar tratamentos mais complexos no futuro
Em crianças e adolescentes, alterações no crescimento dos dentes e ossos podem evoluir rapidamente quando não são acompanhadas no momento certo.
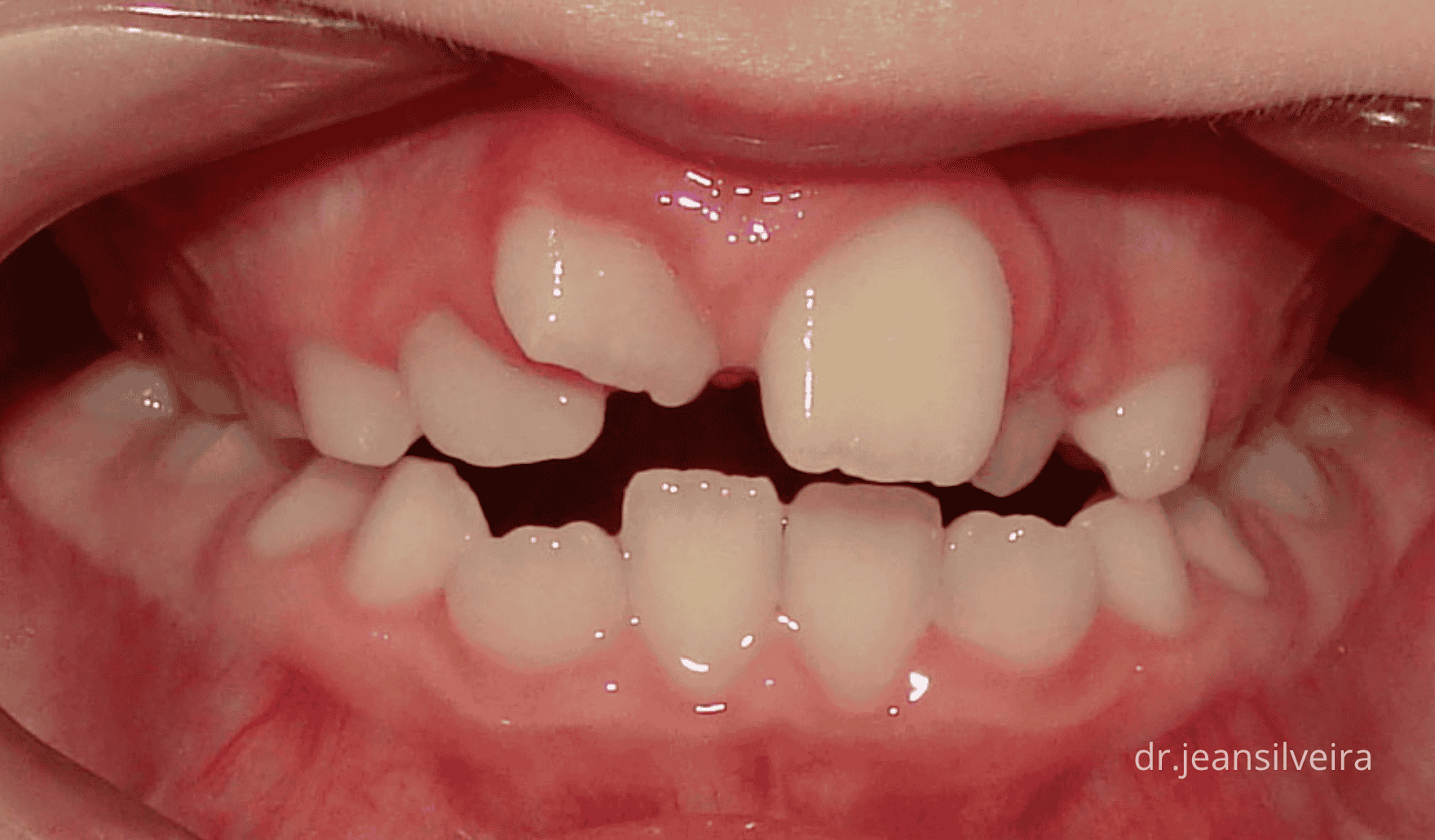
Características herdadas, como o formato do arco e o tamanho dos dentes, podem favorecer o desalinhamento desde cedo.
A perda de dentes sem reposição pode fazer com que os dentes vizinhos se movimentem, alterando o alinhamento ao longo do tempo.
Uso prolongado de chupeta, sucção do dedo ou respiração bucal podem interferir no desenvolvimento da mordida.
Alterações no encaixe da mordida e no crescimento ósseo podem levar a desalinhamentos que se agravam com o tempo.
Quando a criança é avaliada ainda na fase de crescimento, o tratamento tende a ser mais simples, eficiente e com melhores resultados.
Se você identificou algum desses sinais, o ideal é realizar uma avaliação o quanto antes.
Do primeiro contato ao sorriso transformado. Cada etapa com clareza e cuidado.
Entendemos suas queixas, rotina, objetivos estéticos e funcionais em uma consulta tranquila e completa.
Quando indicado, solicitamos exames e montamos um plano com cronograma, tipo de aparelho e previsão clara de evolução.
Colagem do aparelho e orientações práticas para adaptação tranquila ao tratamento.
Consultas de controle periódicas para manter o tratamento no caminho certo, com segurança e previsibilidade.
A avaliação pode ser feita a partir dos 6 anos, quando os primeiros dentes permanentes começam a nascer.
O objetivo não é colocar aparelho cedo, mas acompanhar o crescimento da face, da mordida e da respiração.
Meninas e meninos têm ritmos de crescimento diferentes:
As meninas costumam parar de crescer pouco tempo após a primeira menstruação (a partir dos 10 anos).
Já os meninos crescem até os 17 ou 18 anos.
Por isso, em alguns casos, agir cedo especialmente com meninas é essencial para aproveitar o tempo certo de intervenção.
Sim! A avaliação ortodôntica pode (e deve) ser feita mesmo antes da troca completa dos dentes.
Muitas alterações no crescimento da face, na mordida e na respiração acontecem durante a infância, e o ortodontista pode identificar sinais precoces que passam despercebidos.
Quanto mais cedo for feito o acompanhamento, maiores as chances de evitar tratamentos mais complexos no futuro.
Não.
Na maioria dos casos, a avaliação serve apenas para observar, orientar e acompanhar.
Agir cedo não significa tratar cedo, significa decidir com segurança o melhor momento para intervir.
Em alguns casos, adiar a avaliação pode levar à falta de espaço para os dentes permanentes e aumentar a necessidade de extrações no futuro.
Mordidas cruzadas, quando não tratadas no momento adequado, podem levar a um crescimento torto do rosto durante o crescimento.
Com o passar do tempo, o tratamento pode se tornar mais longo, mais invasivo e mais complexo.
Cada criança tem seu próprio ritmo de crescimento, e apenas uma avaliação cuidadosa pode indicar o caminho mais seguro.
Sim. Quando bem indicada, ela permite guiar o crescimento, reduzir a complexidade dos tratamentos futuros e, em muitos casos, evitar correções mais difíceis na adolescência ou fase adulta.
Atendemos crianças, adolescentes e adultos.
Cada fase tem suas particularidades, e o acompanhamento correto respeita o estágio de crescimento de cada paciente.
É uma consulta dedicada a uma análise cuidadosa, com conversa clara com os pais e orientação individualizada, sempre sem pressa.
Caso seja identificada a necessidade de tratamento, exames radiológicos e fotográficos poderão ser solicitados para uma avaliação mais detalhada e apresentação futura de um plano de tratamento.
A consulta tem duração média de 30 minutos, garantindo tempo suficiente para esclarecer dúvidas e orientar com segurança.
Dr. Jean Silveira de Souza
CRO/PR 18.274 • CL-M 1318
Formado pela Universidade Federal de Santa Catarina, especialista em ortodontia, Dr. Jean Silveira construiu sua trajetória na odontologia com foco em planejamento clínico cuidadoso, precisão técnica e atendimento individualizado.
Sua prática integra diferentes áreas da odontologia com um objetivo claro: restabelecer saúde, função e equilíbrio ao sorriso, sempre respeitando as características e necessidades de cada paciente.
Ao longo dos anos, desenvolveu uma abordagem baseada em evidências científicas, tecnologia e acompanhamento próximo, buscando oferecer tratamentos seguros, resultados consistentes e duradouros.
Faça uma avaliação do seu caso com nosso especialista.
Falar no Whatsapp